Skip to main content
Pristine Periodontics and Implants
Laura Capati, DMD, MS
Request an Appointment
Like us on Facebook
Leave a Google Review
(636) 232-9869
Laura Capati, DMD, MS
Home
About
Our Team
Technology
Practice Photos
Services
View All
Periodontal Disease Prevention
Bone Grafting and Dental Implants
Tooth Extraction
Theraputic BOTOX® Treatment
Lip and Tongue Tie Release
All-on-X Dental Implants
Laser Dentistry
Smile Gallery
Testimonials
Patient Info
View Patient Info
Forms
Financial
FAQs
Contact
Pristine Periodontics and Implants
>
Smile Gallery
>
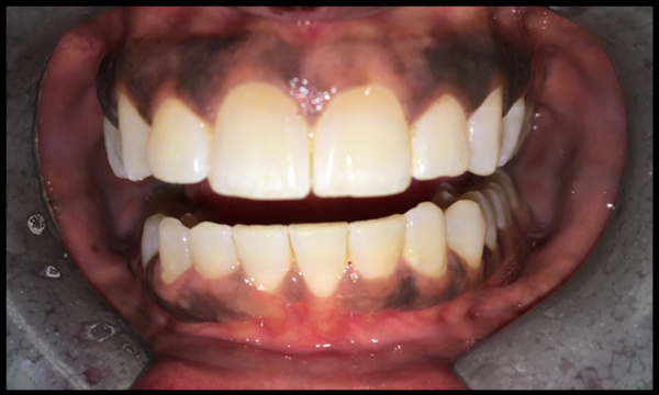
Gum Depigmentation
Gum Depigmentation
Return to Smile Gallery
Previous
Related Services:
Laser Dentistry
Click image to see a larger picture
Before
After
Ready to book an appointment?
Contact Us
OK!
×
×
Contact Us Today
Give Us A Call
Pristine Periodontics and Implants -
(636) 232-9869
Send Us an Email
Request an Appointment
Contact Us
Ready to Schedule an Appointment?
Book Online
Have Questions? Contact Us:
Required Field
Your Name:
Phone:
Email:
Are you a new patient?:
Are you a?
New Patient
Current Patient
How would you like us to contact you?
Please choose
Email
Call
How did you hear about us?
Please choose
I'm an existing patient
Google/Bing
Mailer
Word of mouth
Social media
Other
Who Referred You?:
Appointment Preferences
Monday
Tuesday
Wednesday
Thursday
Friday
Your Message:
This site is protected by reCAPTCHA and the Google
Privacy Policy
and
Terms of Service
apply.
Sending...
×
This Patient's Experience
Loading Testimonial...
Loading Case...