Pristine Periodontics and Implants

Technology

We are proud to offer modern dental technology and techniques to our patients so you can enjoy the most comfortable, efficient, and effective dentistry possible.

Feel free to read on to learn more about the technology we use in our practice.

Digital X-Rays

Modern digital dental x-rays benefit patients in a number of ways: 

  • Digital x-rays expose patients to considerably less radiation than conventional film x-rays.
  • Digital x-rays require almost no time for development, reducing time spent waiting in the dental chair.
  • Digital x-rays allow for incredibly precise and accurate images for timely diagnoses.
  • Digital x-rays are securely stored in your digital file and can be securely sent to your insurance company or specialists, when necessary.

Because no chemicals are needed for developing and no space is needed for film storage, digital x-rays are better for the environment.

Learn more about where we use this technology:

CBCT Cone Beam Technology

3-D dental imaging is an exciting new dental technology that allows your dentist to get a full view inside your mouth, allowing for better diagnosis and treatment of dental issues. With 3-D imaging, your dentist will use a 3-D imaging machine to create a 3-D rendering of the inside of your mouth. This is superior to traditional 2-D x-rays because it offers your dentist a look at your entire mouth in 3-D, providing more vivid detail and a variety of perspectives. 

Your dentist will be able to zoom in on areas, rotate the view, and enjoy a variety of angles, which makes for a much more in-depth imaging experience. Creating the 3-D image is simple and easy, taking only a few minutes.

Learn more about where we use this technology:

Intraoral Camera

What if you could see exactly what your dentist sees? You'd probably find it simpler to make informed decisions about your oral health! 

Intraoral cameras allow you to do precisely that. Using a small digital camera embedded in a wand, the dentist can move it around your mouth and transmit the images instantly to a chairside monitor. This allows you to clearly see everything the dentist describes, including damage to the teeth and signs that might indicate periodontal disease. 

Learn more about where we use this technology:

Panoramic X-Ray

Individual x-rays are beneficial for identifying decay, infection, and many other dental conditions. Having a full-picture view is often helpful, and that’s where panoramic x-rays come in handy. Panoramic x-rays take a full-picture view of the teeth, bone, jaw joints, and other biological landmarks. These types of x-rays are helpful in planning oral surgeries, such as extractions and dental implant placement, as well as identifying tumors, cysts, and jaw joint problems.

Learn more about where we use this technology:

Digital Records

In today’s modern, digital culture, we are used to having information at the tips of our fingers. Your dental records are no different. Digital records allow us to compare your oral health from one visit to the next, and everything stays safe under encrypted lock and key.

Learn more about where we use this technology:

Televisions in Treatment Rooms

If you want a distraction while we look after your smile, having a television to watch your favorite program can be a relaxing amenity. We can also use chairside monitors to show you your intraoral photos and x-rays to help you better understand your care.

Airflow Technology

An airflow dental cleaning is an advanced teeth cleaning method that uses a powerful combination of compressed air, water, and fine powder particles to remove plaque, stains, and biofilm from tooth surfaces. This gentle yet effective technique reaches areas traditional scaling tools cannot, including deep periodontal pockets and around orthodontic appliances.

The procedure is comfortable, quick, and minimally invasive, making it ideal for patients with sensitive teeth or dental anxiety. An airflow tooth cleaning leaves teeth feeling exceptionally smooth and clean while preserving enamel integrity throughout the process.

Learn more about where we use this technology:

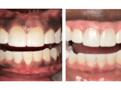
Laser Depigmentation

Laser depigmentation is a dental procedure that removes dark spots on the gums. The dark spots are caused by extra melanin, and by using precise laser technology, the pigmented tissue layers are gently ablated to reveal lighter, pink tissue beneath. The procedure is quick, typically completed in one visit with minimal discomfort. The laser simultaneously cauterizes treated areas, reducing bleeding and promoting faster healing. Results create a more uniform gum appearance, with most patients healing completely within one to two weeks.

Learn more about where we use this technology:
Not finding what you need?
If you have difficulty using our website, please email us or call us at (636) 232-9869
View the ADA Accessibility Statement